Business is booming.

The Download: AI for cancer diagnosis, and HIV prevention


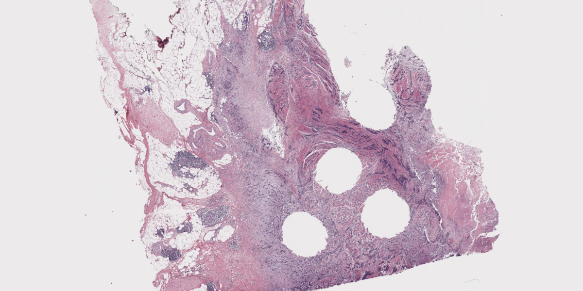
Finding and diagnosing cancer is all about spotting patterns. Radiologists use x-rays and magnetic resonance imaging to illuminate tumors, and pathologists examine tissue from kidneys, livers, and other areas under microscopes. They look for patterns that show how severe a cancer is, whether particular treatments could work, and where the malignancy may spread.

Visual analysis is something that AI has gotten quite good at since the first image recognition models began taking off nearly 15 years ago. Even though no model will be perfect, you can imagine a powerful algorithm someday catching something that a human pathologist missed, or at least speeding up the process of getting a diagnosis.

We’re starting to see lots of new efforts to build such a model—at least seven attempts in the last year alone. But they all remain experimental. What will it take to make them good enough to be used in the real world? Read the full story.

—James O’Donnell

This story originally appeared in The Algorithm, our weekly newsletter on AI. To get stories like this in your inbox first, sign up here.

Long-acting HIV prevention meds: 10 Breakthrough Technologies 2025

In June 2024, results from a trial of a new medicine to prevent HIV were announced—and they were jaw-dropping. Lenacapavir, a treatment injected once every six months, protected over 5,000 girls and women in Uganda and South Africa from getting HIV. And it was 100% effective.

So far, the FDA has approved the drug only for people who already have HIV that’s resistant to other treatments. But its producer Gilead has signed licensing agreements with manufacturers to produce generic versions for HIV prevention in 120 low-income countries.



Source link

24World Media does not take any responsibility of the information you see on this page. The content this page contains is from independent third-party content provider. If you have any concerns regarding the content, please free to write us here: contact@24worldmedia.com